ORTODONCIA EN ADULTOS
Ortodoncia Exclusiva en Bilbao
La ortodoncia en adultos podemos realizarla de 3 formas diferentes empleando técnicas invisibles o convencionales
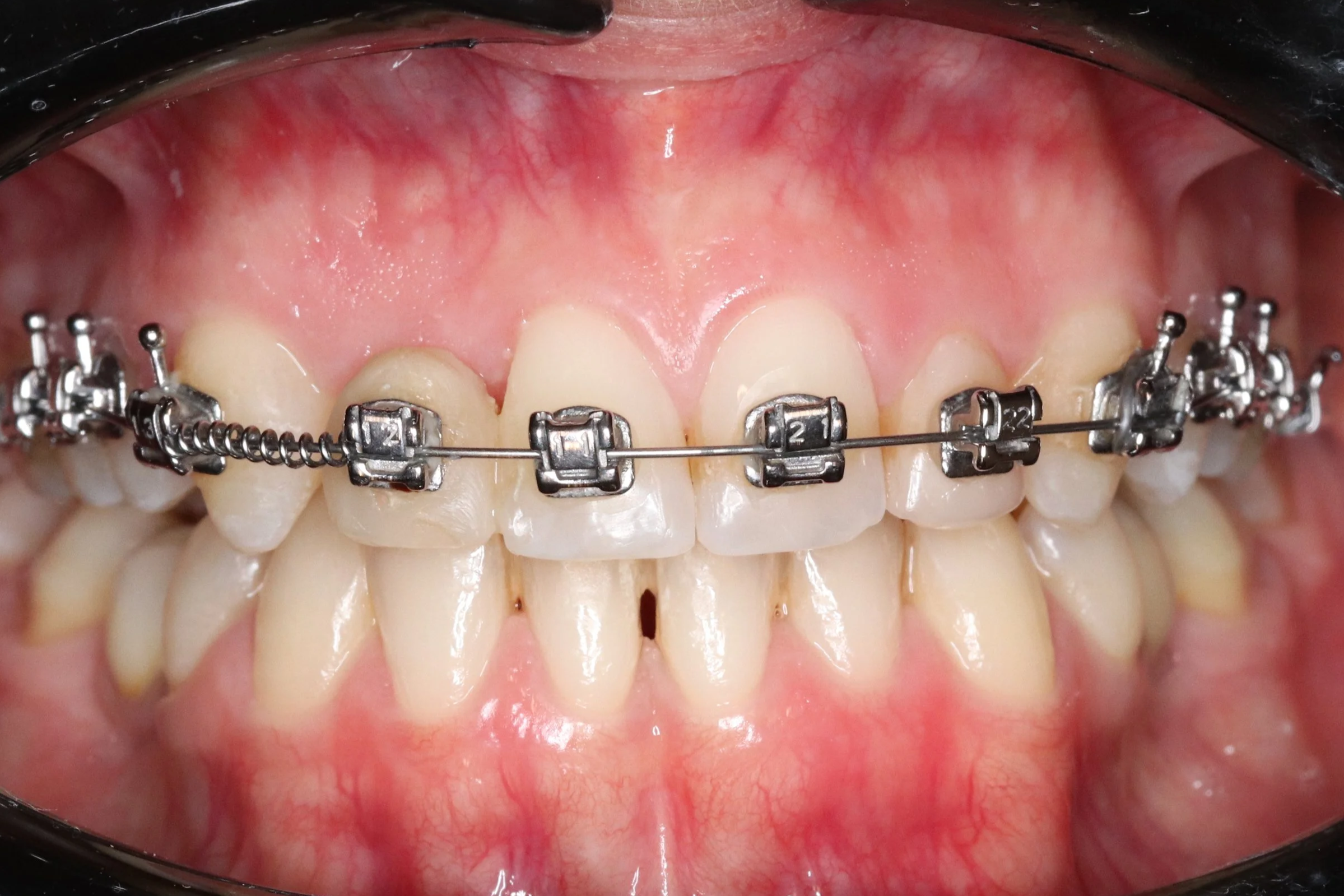
BRACKETS METALICOS CONVENCIONALES

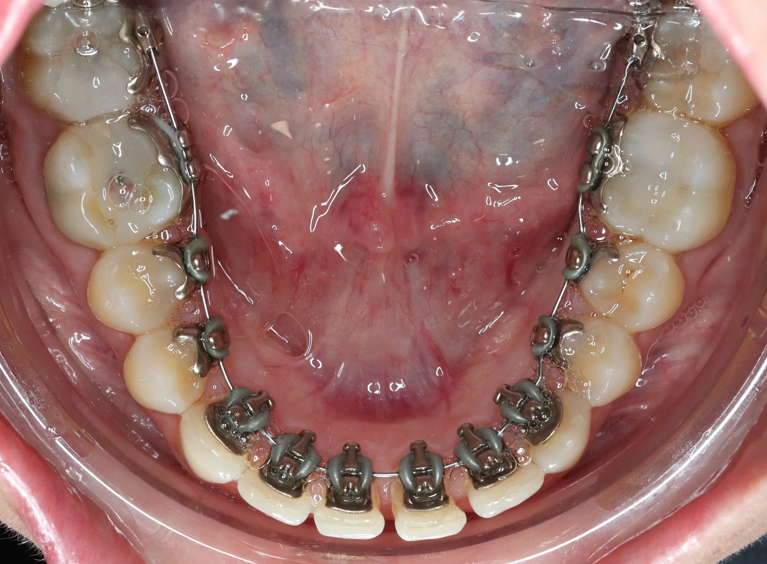
Antes y Después de Carmen. Tratada con ortodoncia lingual
Ortodoncia Lingual o Ortodoncia Invisible en Bilbao
La ortodoncia lingual o con alineadores como Invisalign es un método revolucionario para corregir la mordida sin llevar brackets
Transparente, altamente estético o completamente invisibles
Sistema de quita y pon o fijo
Facilidad para limpiar los dientes y menos tendencia a desarrollar caries
Customizado, a medida de tus dientes
Diseño 3D de la sonrisa
ORTODONCIA INFANTIL - JUVENIL
BRACKETS METALICOS CONVENCIONALES
Especialistas en brackets en Bilbao. Ortodoncia de toda la vida para adolescentes

Tratamiento Precoz Preventivo-Tratamientos Ortopédicos
Tanto si es con alineadores como con ortodoncia convencional tratamos a los niños en edades tempranas para guiar su crecimiento.
Guía de crecimiento
Corrección Ortopedia y Dentaria
Corrección de maloclusiones
Falta de espacio para dientes definitivos
Ortodoncia Infantil en Bilbao
También los niños y adolescentes pueden llevar tratamientos de ortodoncia invisible. Nos ayuda enormemente en la higiene diaria dental. Los tratamientos conservadores siguen siendo muy utilizados también.
En Clínica Ojanguren somos especialistas en ortodoncia infantil y juvenil en Bilbao. Acércate a conocernos